Text us for more information
Charcot Foot and Ankle (also called Charcot Neuroarthropathy)
Almost everything you need to know - until you get to a specialist.
CHARCOT FOOT and ANKLE RECONSTRUCTION has become one of our greatest interests. We do consider it one of our most difficult procedures and at the same time our most rewarding.
If you are visiting this website either you or a loved one has been diagnosed with a charcot joint. We realize that this is a difficult time and information on the topic is very hard to find. What you will find on the internet is often difficult to understand for a non medical person. We will try to present all the data on this condition in an easy to understand terminology.
MOST IMPORTANT : Please note that if you think you have this condition, it is limb threatening and you need to go to a local specialist immediately and treat it as an emergency. The initial treatment you receive will dictate the entire course of the condition and its treatment. This website is only for general information on the topic and not a treatment suggestion!!
If you have been told you need an amputation - give us a call. In most cases something can be done to save the leg and avoid amputation. But - we are realistic and sometimes an amputation is the best procedure that will give a patient their life back as quickly as possible.
What is Charcot Neuroarthropathy?
Charcot is a syndrome that effects joints but it will not happen without the presence of nerve damage. This nerve damage is usually referred to as neuropathy and its most common cause in developed countries is diabetes. It is important to know that charcot joint is not directly related to diabetes and that you do not have to have diabetes to develop a charcot joint. The common denominator in all cases is neuropathy, we have treated patients who developed neuropathy from a car accident, a fall, a gunshot wound, in one case a patient developed it after a nerve injury from acupuncture. In another case a patient developed neuropathy after a knee replacement where the major leg nerve was injured. Cancer medications, vitamin deficiency, spider bites, and in some cases from something called idiopathic neuropathy which is a condition where there is no known cause for the neuropathy.
In other words a person needs at least two things to be at risk for a charcot joint :
- Neuropathy (we will discuss what neuropathy really has to do with it later)
- Trauma in the area of neuropathy.
Why trauma???? If you look over the literature a majority of it will cite the two conditions above. Most will explain something called microtrauma where there is a repetitive minor injury to a joint in a neuropathic area that ultimately breaks the joint surfaces down in a very aggressive type of arthritis. There are a certain percentage of patients that will remember one recent significant traumatic injury. Injuries ‘from years ago’ probably have no connection to the charcot they have to be recent. An overwhelming majority will remember a small injury, a misstep, an ankle sprain or a twisted foot. Surgery is also a traumatic experience to the body,we have seen many people develop charcot joint after a surgical procedure to that same limb. And of course there is the patient who does not at all report any injury.
Charcot neuroarthropathy or charcot joint disease is a very difficult problem to deal with for both the doctor and the patient. The diagnosis of charcot joint disease is an immediate indicator that a change of lifestyle is absolutely necessary.
Here is a little history of charcot : In the mid-1860s a French neurologist named Jean-Martin Charcot described a joint affliction isolated to patients who had limited sensation in their limbs. During that time period, the most common cause of this sensation loss, (also called peripheral neuropathy) was end stage syphilis. People with diabetes rarely lived long enough to develop diabetes induced limb problems. The situation today is very different, diabetes affects 29 million children and adults in the United States, that almost 9% of the population; and another 79 million people suffer from pre-diabetes. If you want to learn more about the disease please visit the American Diabetes Association website. And Diabetes is now the most common cause of peripheral neuropathy. There are a few other causes as well such as alcoholism, drug induced neuropathy, chemotherapy, vitamin deficiency, trauma, and the idiopathic neuropathy of no known origin.
Above are a few pictures of the doctor that Charcot Joint is named after you can look up more information on him HERE. He was a very well known clinician and educator in the late 1800s. You might recognize the names of some of his students : Sigmund Freud , Joseph Babinski, Georges La Tourette. He is also notable for his contribution to the understanding of multiple neurologic diseases including Parkinson’s Disease.
HOW IT STARTS :
The charcot foot begins as swelling, redness, warmth and tenderness in an otherwise insensate foot. This severe inflammation continues until not only the soft tissues are affected but the joints and surrounding bones as well. There are many theories proposed on exactly what makes the bones almost “self destruct” but there is no consensus on the cause to date. Over all what happens is that the nerve endings with in the joints themselves succumb to neuropathy, the bones no longer are aware of their positions, and this together with an increase of blood flow to the area leads to a rapid extreme arthritis which quickly sometimes as fast as one week destroys the architecture of the foot.
Immediate treatment can consist of off-loading or the use of total contact casting, bone stimulator application, bisphosphonate drug therapy among other noninvasive techniques. On occasion we do perform stabilization surgery with external fixation in the acute phase of the joint disease. Unfortunately many patients develop a rocker bottom foot deformity, see the pictures below and the xrays to understand this.
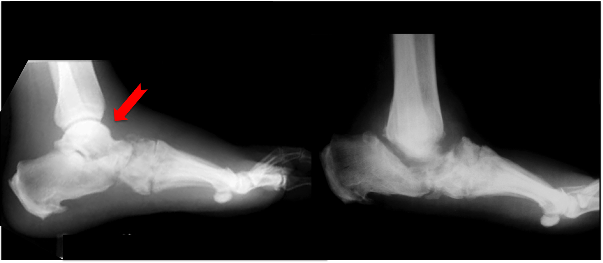
In the illustration below the red arrow points to the bone called the talus, on the left you can see it, in this case 6 months later the xray on the right shows that it has completely disappeared. This bone destruction is very common in the charcot process and creates a charcot ankle that is unstable and the patient may have difficulty walking since there is essentially no connection between the foot and rest of leg.
The picture below shows what is known as a rockerbottom charcot deformity of foot. in xray on left the arch is normal, in the charcot patient xray in middle you can see the red line showing arch that has collapsed creating a rockerbottom appearance to the foot. This is dangerous because in the face of neuropathy ( skin numbness- which is common in diabetes ) the patient can develop a wound ; we call an ulceration in that area where the bump is prominent as pictured in the rightmost image.
This can occur even if immediate correct treatment is enacted since the deforming forces of the tendons and ligaments are so strong in the limbs. The acute phase of the charcot process is called the inflammatory phase and can last from several weeks to months. When the redness, warmth and edema subside this marks the second phase which is called the ossification phase where the patients own body tries to mend the bones together. If there is enough bone mass the body can be successful in healing the foot unfortunately in the foot has become deformed during the acute first stage the body will heal the foot in an abnormal position. This is the rocker bottom foot position which then allows the midfoot prominence of bone to quickly break down the skin and cause a diabetic foot ulcer. This can lead to limb loss in the most severe of cases. The final stage of the charcot process is the remodeling phase. Here the patients own body attempts to recreate as much of the normal foot architecture as possible through absorbing bone where it should not be and creating bone in areas it should be.
The overall charcot disease process can lead to an unstable deformed foot. This can in some cases be treated nonoperatively with bracing and charcot CROW boot fitting. In some cases the prominence may need to be removed with a procedure known as exostectomy. In other cases of advanced deformity and instability we perform charcot foot and ankle reconstructive surgery.
SURGICAL TREATMENTS for CHARCOT JOINT:
VERY IMPORTANT : In recent years we have started more often operating on charcot feet and ankles in the acute stage I mentioned above and we now have a protocol we use in those patients. We have found they do go on to successful limb salvage more often than those patients that come to us months or years after the charcot has started.
Who needs a complicated reconstructive procedure as opposed to who needs a bone shaving (exostectomy)??
We review the xray to see the relationship of the tibia ( legbone) to the ankle and the foot. If the foot is affected by the charcot process but has relatively normal skeleton architecture with a protruding bone - we can do a less invasive surgery and shave down that prominent bone.
If we find all the normal angles are off and an exostectomy will not completely remove the dangerous bone promience those patients generally need reconstruction.
What actually is reconstruction ?
Charcot can end up in two ways, in a foot that is completely unstable with no bone joint connections or in a fused up chunk of bone with no joints but with noticeable malalignment.
In the first unstable case we need to do procedures that stabilize the foot - fusion (arthrodesis) where we use screws, plates pins , more screws to stabilize the foot in as close to normal position as possible.
We can only use internal hardware i mentioned above in cases where there are no signs of any infection. There should also be no significant wounds in that limb. In cases where there are wounds we may need to perform an intermediate step surgery to close the wound and biopsy the bone to make sure there is no infection deep in that bone. In these infected cases we do use external fixators, see pics below to see what i mean by this.
This first picture below show a typical midfoot charcot on the left with its post-operative appearance on the right. You can see the larger screws placed across the foot to hold all of the fragments in place.
In cases where there is a severe infection we make our own implants out of antibiotic cement during surgery to stabilize the infected bones. I am particularly proud of this , we are able sometime to replace half the bones in a foot that were destroyed by bacteria and get a functional limb at end of treatment.
In many cases we remove the cement antibiotic implant and replace it with a stronger, more rigid rod or plate when the infection is eradicated.
What about the wounds if there are any?
We try to close all wounds during the initial surgery with flaps and skin grafts. Want to know more about our unique wound care : click HERE.
Also we examine the muscles and tendons, if there is a muscle or contracted tendon we do lengthenings and tendon transfers to balance the foot, ankle and leg. This is actually a vital part of the surgical charcot repair.
Dr. David Gitlin, DPM is well known for his techniques of reconstruction and utilizes the newest medical and surgical products available. He also is one of the few doctors in the United States that performs acute phase charcot foot realignment with promising results. Dr. Gitlin is well versed in the use of ilizarov external fixation in the treatment of charcot limb disease and lectures all over the world on this topic.
If you have and questions in regard to this or any other lower extremity condition contact our office, even if you cannot visit us we are happy to offer you guidance.
We will try to help.
Text us for more information


